В Иркутске врачи удалили грудную опухоль у младенца
. Ее размер достигал 8 смВ Иркутске провели уникальную операцию по удалению грудной опухоли у младенца

Иркутские врачи провели уникальную операцию и смогли удалить крупную грудную опухоль у младенца, сообщается в телеграм-канале губернатора области Игоря Кобзева. На размещенном видео заведующий хирургическим отделением № 2 Ивано-Матренинской детской клинической больницы Андрей Распутин рассказывает подробности операции.
Опухоль у младенца была обнаружена еще на 30-й неделе беременности во время УЗИ, ее размер на тот момент достигал почти 8 см. Образование, по словам врачей, сдавливало легкие и сердце, угрожая его жизни. После этого вплоть до самых родов будущая мама находилась под постоянным наблюдением специалистов.
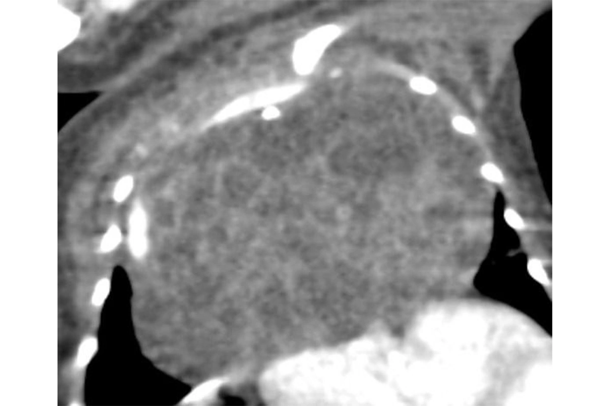
Опухоль у младенца на рентгеновском снимке
По словам врачей, единственным шансом спасти ребенка была операция по полному удалению опухоли, которая также несла определенные риски для жизни малыша. Через два часа после родов его оперативно перевели в отделение анестезиологии, реанимации и интенсивной терапии, где команда реаниматологов под руководством Натальи Геннадьевны Алейниковой боролась за стабилизацию состояния малыша в течение пяти дней. После этого хирурги Андрей Александрович Распутин и Владислав Сергеевич Черемнов с командой из шести человек успешно провели двухчасовую операцию, удалив опухоль, занимавшую всю переднюю грудную стенку.
В настоящее время ребенок и мама выписаны из больницы. Отмечается, что дыхательная недостаточность прошла сразу после операции, соответственно, жизни ребенка, по сообщению специалистов, больше ничего не угрожает.
В Саратове врачи спасли шестимесячных двойняшек с экстремально низким весом
Саратовские врачи-неонатологи смогли спасти жизни двойняшек, родившихся на 28-й неделе беременности, несколько дней их состояние оценивалось как критическое. Сейчас, по словам врачей, дети активно набирают вес и догонят по развитию своих ровесников.
Согласно статистике, в России ежегодно рождается более 84 тыс. недоношенных детей, что составляет 5% от всех новорожденных.
















